
Muscle cells from healthy subjects (left), DMD patients (center) and treated DMD patients (right). Dystrophin (green) is absent in untreated muscle cells from DMD patients that were reprogrammed into iPS cells and redifferentiated, but is recovered following chemical treatment.
Duchenne muscular dystrophy (DMD) is a muscular disease that shows symptoms in early childhood and causes progressive atro- phy and eventual death. There is little in terms of treatment, partly because of poor under- standing of how DMD develops, although it is known that abnormal expression of the protein dystrophin is at fault. Normally, to study DMD development, patient myoblasts, the cells that develop into muscle cells, are used to study DMD development. However, because patients suffer from variable stages of DMD, their cells are not suitable for studying the early stages of DMD development and preventative measures. To overcome this problem, Associate Professor Hidetoshi Sakurai and his team, in collaboration with the Institute for Frontier Medical Sciences at Kyoto University, have designed a model that reprograms fibroblasts to the early stages of their differentiation into intact muscle cells.
The strategy depends on first reprogramming the patient cells to iPS cells and then introducing a gene that differentiates the iPS cells to muscle cells. “Our model allows us to use the same genetic background to study the early stage of pathogenesis which was not possible in the past,” says Emi Shoji, the first author of a study that gives new insights on DMD development.
Muscle contraction depends on an influx of Ca2+ ions into the cells. However, too much influx leads to cell dysfunction or death, which is be- lieved to be the underlying cause of DMD. “It is critical to assess intact cells for an accurate evaluation of how Ca2+ influx leads to DMD pathogenic cascades,” says Shoji. She therefore stimulated their model electrically to simulate muscle cell contraction, finding that cells from DMD patients had significantly increased influx. Further study laid blame on transient receptor po- tential (TRP) channels through which Ca2+ ions enter the cell. This observation is consistent with other models and provides a clear drug target for the treatment of DMD. More important, it should allow scientists to uncover drug agents that can counter DMD at early development. “TRP chan- nels have been identified before. But because our model uses patient-derived hiPS cells, there is a potential that we can find new drugs for DMD,” says Sakurai.
Shoji E, Sakurai H, Nishino T et al. (2015) Early pathogenesis of Duchenne muscular dystrophy modeled in patient-derived human induced pluripotent stem cells. Scientific Reports 5 (in press).
Hirohide Saito
Acommon way to control cell function is through the use of drugs or other small compounds. However, drug actions are often imprecise and risk undesirable side effects. A better tool would be synthetic gene circuits. Unfortunately, although a number of such circuits already exist, none are suitable for biomedical applications and therefore cannot replace drugs. “All circuit designs rely exclusively or partially on DNA-based transcriptional regulation, and the required DNA poses a risk of cancer,” says Ron Weiss, a synthetic biologist at the Massachusetts Institute of Technology who is seeking to solve this problem.
Accordingly, Weiss considered ways to remove the requirement for transcriptional regulation by making RNA-only circuits. To push this work quickly, he partnered with Hirohide Saito, a bioengineer and professor at CiRA who specializes in RNA-based technologies. Saito explains what makes the RNA-only circuits envisaged by Weiss more challenging. “In the case of DNA, various transcriptional repressors and activators are known and used to construct circuits. In the case of RNA-only circuits, we need a set of RNA-binding proteins that effectively control gene expression in a post-transcriptional manner.”
One candidate protein is the archaeal protein L7Ae, which selectively binds kink-turn RNA and therefore can be used in synthetic circuits to inhibit the expression of another protein. As a first example, the scientists prepared two synthetic RNA, one that included mRNA for the expression of L7Ae and the other mRNA for the expression of hBax, a pro-apoptosis protein that when expressed kills the cell. Along with these mRNA, included in the synthetic RNA were antisense sequences for micro RNA (miRNA). Binding of miRNA to the synthetic RNA prevents the expression of the mRNA. Therefore, if an undesired cell type has unique miRNA, one could design a circuit to include antisense sequences for this miRNA to prevent the expression of L7Ae, while antisense sequences for miRNA unique to a desired cell type could be added so as to prevent the expression of hBax (see cartoon). While miRNA alone can be sufficient to separate two cell types, Weiss and Saito show that their RNA circuits can separate one cell type from multiple cell types simultaneously. This ability is important for advancing cell therapies, as these require first acquiring the desired cell type from a heterogeneous pool of cells before being transplanted into a patient.
RNA-based circuits can separate a desired cell type from multiple cell types simultaneously.
In this illustrative example, the expression of L7Ae will repress the expression of hBax, allowing the cells to survive.
If, however, miRNA1 binds to its antisense sequence, L7Ae expression is repressed, which allows hBax to be expressed,
killing the cell. If miRNA2 binds to its antisense sequence, hBax is repressed regardless of L7Ae expression.
Because the synthetic RNA is often not needed once the cells are sorted, they should only be transiently expressed. For this reason, modified mRNA (modRNA) was used to deliver the synthetic RNA into the cells, since it has a short half-life. On the other hand, when a more permanent effect on the cell is sought, such as regulation of a signaling cascade, an alternative vehicle is needed, such as RNA replicons (replicons). To extend the application of their circuits, replicons were also tested as a delivery system and found effective, as they could turn the expression of multiple proteins off and on. Importantly, the circuit was easy to scale, which in theory should allow this technology to control even more targets at any given time.
The ability to construct RNA-only circuits and deliver them using different modes has made Weiss and Saito optimistic about the wide applicability of their circuits and its potential for use in humans. “The ability to use modRNA and replicons greatly expands the reach of our circuits,” says Saito.
Wroblewska L, Kitada T, Endo K, et al. (2015) Mammalian synthetic circutis with RNA binding proteins for RNA-only delivery. Nature Biotechnology 33(8): 839-41.
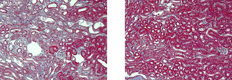
Fibrosis shows improvement with treatment. Damaged kidneys (left) show high levels of fibrosis (blue). Treatment with Osr1+ Six2+ cell therapy significantly ameliorates the fibrosis (right).
One promising way to treat diseased or damaged kidneys is cell therapies that include the transplantation of renal progenitor cells. Acquiring a sufficient number of progenitor cells has been difficult in the past, but the expansion and then differentiation of iPS cells into renal progenitors should overcome this problem.
Even with the increased number of renal progenitors, however, transplanting them directly into the kidney parenchyma, which is the ideal solution, is never simple. “The kidney is a very solid organ, which makes it very difficult to bring enough number of cells upon transplantation,” explains Professor Kenji Osafune, whose lab is using iPS cells to investigate new treatments for kidney disease.
In collaboration with Astellas Pharma Inc., Osafune’s group reports a circumventive solution. They instead transplanted iPSC-derived renal progenitors into the kidney subcapsule, which is at the kidney surface, of a mouse model with acute kidney injury. Even though the transplanted cells never integrated with the host, mice that received this transplant showed better recovery, including less necrosis and fibrosis, compared with mice that received transplants of other cell types. One reason that Osafune attributed to this improvement was the use of cells that expressed Osr1 and Six2. Although these two factors are known markers of renal progenitors, until now researchers had not exclusively used cells that expressed both for cell therapies.
Another conclusion from the study was that because the cells did not integrate into the kidney, their therapeutic effects were the result of paracrine actions that included the secretion of key renoprotective factors. While most cell therapies aim for integration, these findings could nevertheless have important clinical implications. Foremost is that they are the first to show the benefits of human iPS cell-derived renal lineage cells. Second, fibrosis is a marker of progression to chronic kidney disease, suggesting that the paracrine effects could act as preventative therapy for other serious ailments. Indeed, Osafune believes these effects could give clues for drug discovery. “There is no medication for acute kidney injury. If we can identify the paracrine factor, maybe it will lead to a drug.”
Toyohara T, Mae SI, Sueta SI, et al. (2015) Cell therapy using human induced pluripotent stem cell-derived renal progenitors ameliorates acute kidney injury in mice. Cells Translational Medicine 4(9): 980-92.
Pluripotent stem cells (PSCs) have been used to generate just about all cell types in the body except one: germ cells, which include sperm and eggs. Unlike other stem cell-based therapies, which will only have an effect on the patient, those that induce germ cells could also have benefits on the patient’s children. Scientists have had success producing germ cells from mouse PSCs, but humans have proven more difficult. Part of the reason has been attributed to mouse PSCs having na"ve pluripotency, but human PSCs having primed pluripotency, leading to the theory that na"ve pluripotency is necessary for germ cell derivation. However, only mouse PSCs and very recently rat PSCs have shown na"ve pluripotency, whereas PSCs from other animals all show primed pluripotency, Professor Mitinori Saitou of Graduate School of Medicine, Kyoto University to wonder if scientists have had it wrong. “The mouse may be an exception,” he said.
Saitou is a leader in germ cell generation from mouse PSCs. “When I read about his work I knew I had to come back [to Japan],” said Kotaro Sasaki, a pathologist who had established his career in the United States. The result of his joining the Saitou lab is a new study in collaboration with five laboratories at CiRA that shows the same core factors involved in generating germ cells from mouse PSCs are used by human PSCs too.
To prove this, Sasaki spent a month at CiRA learning how to work with human iPSCs. This allowed him to create a reporter system that he used to show the same strategy could be used to make germ cells regardless of na"ve or primed pluripotency. Interestingly, while the core factors were the same, the gene targets were different, suggesting mice may not be suitable for studying germ cell development in humans. On the other hand, germ cells taken from monkeys showed similar molecular properties to the germ cells induced from human iPSCs, indicating non-human primates could provide important insights on human germ cell development and on related diseases such as infertility.
Saitou is excited about the findings, because they demonstrate any type of pluripotency, not just na"ve, should be sufficient when attempting to induce germ cells. “We do not need to go back to the na"ve state, at least in humans,” he said.
Sasaki K, Yokobayahsi S, Nakamura T et al. (2015) Robust in vitro induction of human germ cell fate from pluripotent stem cells. Cell Stem Cell 17(2): 178-94.
The focus of our research is to generate differentiation protocols for cardiac and hematopoietic cells from iPS cells, with the ultimate aim of creating new models to study related diseases. We aim to use these models not only to investigate the disease mechanisms, but to also advance drug discovery and cell therapies. Most recently, we have reported cell lines that recapitulate the pathology seen in patients suffering from myelodysplastic syndrome. We also are investigating cardiomyocyte transplantation into the hearts of rat and larger animal models to evaluate therapeutic potential.
One major issue that emerges in any cell line produced from iPS cells or ES cells is heterogeneity. Heterogeneity convolutes any disease model, because we cannot precisely discriminate which cells are the cause of our observations. Our goal, using iPS cells, is to design technologies that optimize the differentiated population. This optimization requires a number of strategies that goes beyond differentiation protocols, as we must also identify and separate the desired cell maturation stage from the heterogeneous population. For example, we are taking advantage of innovations in single cell technologies, such as single cell RNA sequencing, which allows us to better evaluate the state of individual cells. In addition, we benefit from being at CiRA, where we get to work with groups developing new technologies designed for iPS cells. One example is the feeder-free cultures designed by Dr. Masato Nakagawa of CiRA, on which we differentiate iPS cells to produce our target cell types. Another example is the miRNA switch designed by Prof. Hirohide Saito of CiRA. This technology takes advantage of miRNA that are unique to cardiomyocytes. Using miRNA switch, we achieved purification levels that are in agreement with requirements for clinical therapies, which is not the case for more traditional purification methods, such as those that depend on surface receptors.
Although we focus on specific cell lineages, the demands of our research require that the lab employs a diverse group, which is why our people include medical doctors and mathematical biologists. We expect that not only will our protocols be applicable for disease study, but also rapidly reach clinical use.
Yoshinori Yoshida and colleagues
I n April this year, a research team in China reported the first gene editing of the human embryo. This accomplishment was made in a background of discussion by leading academic journals and societies about the ethics of such editing. Unlike gene editing of other cells, gene editing the embryo potentially changes the entire nature of the body and goes beyond regenerative medicine to human design. Thus, this science addresses bioethical issues that are not relevant to the gene editing of other cell types.
Scientists have long been editing the embryo of non-human animals. Without it, we would not have the many animal disease models that much of our medicine depends. At the same time, there is much research devoted to the gene editing of non-embryonic human cells. Last year, for example, the Hotta lab at CiRA published a study that showed the potential health benefits of gene editing of iPS cells with a mutated dystrophin gene. In the United States, a clinical trial is investigating the effects of cells that underwent gene editing to treat HIV patients.
Gene editing of the embryo brings two special ethical issues to the forefront. The first is the use of the embryo, which has been contentious before gene editing; the second is the potential of human design. These embryos, if placed in the womb, should mature as a natural embryo that emerges upon fertilization. In the aforementioned study, the researchers were clear that the embryo was not and never intended to be returned to the womb, but their standard does not prevent the possibility in future studies by other scientists. At the same time, gene editing of the embryo should provide exceptional opportunities to study the causes of and develop treatment for disease.
This topic easily excites extreme views, with some arguing that no genome editing of the embryo should be permissible and others arguing for much more leniency on its use.
Even among scientists, there is wide opinion about how this issue should be handled.
(The first of a two-part series)
Dopaminergic neurons induced from iPS cells. Sumitomo Dainippon Pharma is working with CiRA for good manufacturing process of these cells, which will be used for clinical research.
Prof. Jun Takahashi’s team is preparing for clinical research on Parkinson’s disease. This clinical research will involve transplanting dopaminergic (DA) neurons made from autologous iPS cells into a small group of Parkinson’s patients. However, to reach clinical trials, allogeneic iPS cells will be required, which is why Takahashi has formulated an agreement with Sumitomo Dainippon Pharma Co. and Hitachi, Ltd. that will industrialize his DA neuron-induction protocol. The first allogeneic transplantations from this partnership are expected 3-4 years after the initial autologous clinical research.
To learn the DA neuron-induction protocol, Sumitomo Dainippon has been working in the Takahashi lab since April 2014. “Sumitomo Dainippon is very enthusiastic about regenerative research,” says Takahashi. Sumitomo Dainippon will begin preparing DA neurons at its own facilities and also establish cryopreservation methods and good manufacturing practice.
On the other hand, Hitachi’s role is more general, as they will be building cell culture machines that are expected to facilitate clinical research for many of the diseases studied at CiRA.
A key initiative at CiRA is the construction of an iPS cell library in which iPS cells are constructed and stored from patients. Along with the cells, the library includes comprehensive medical data. However, to discover the pathogenesis and new treatment, a similar collection from healthy volunteers is needed for comparison. CiRA has therefore partnered with Hitachi, Ltd. to create this library.
Hitachi will recruit healthy volunteers from its employees who visit the Hitachi Health Center. Because some of these employees have worked at Hitachi for decades, the accompanying health data should allow CiRA researchers to meticulously study how healthy cells age, hopefully providing clues on disease progression. Ethics boards at CiRA and Hitachi have approved the recruitment design.
An iPS cell cultured using the Nakagawa method.
1) Nakagawa M, Taniguchi Y, Senda S et al. (2014)
Stem Cell Reports 4: 3594
2) Reardon S and Cyranoski D (2014) Nature 513: 287
Last year, Senior Lecturer Masato Nakagawa published a paper that described a new feeder-free, xeno-free cell culture system that would allow for manufacturing clinical grade iPS cells1. The system depends on a combination of a laminin protein derivative (laminin-511 E8 fragment) and StemFit, a xeno-free commercial product. The system is popular in Japan and was used to prepare the cells transplanted by Dr. Masayo Takahashi of Riken last year in the landmark study using 100% iPS cell therapy2. It is also being used to cultivate the iPS cells that will be used in future clinical research done by CiRA scientists. In recognition of this work, Nakagawa received the Ministry of Education, Culture, Sports, Science and Technology (MEXT) Cabinet Award on August 18. He shared the prize with Professor Kiyotoshi Sekiguchi of Osaka University, who first manufactured laminin-511 E8 fragment, and Nippi Inc., which commercialized the product.
A young scientist at work
This year CiRA initiated an internship program, welcoming university students to conduct research at a lab of their choosing during the summer break. Because it was a test run, the number of participants was kept modest at 11, but there are hopes to expand. The program was supported by the iPS Cell Research Fund, which is supported by private donors and provided a stipend to the students. Interested students for next year are encouraged to check the CiRA website and to also contact professors directly about possible projects and periods. One participant, Christopher Micklem of Imperial College London, was very happy with the opportunity. “I had an incredible time - the chance as an undergraduate to come to the beautiful city of Kyoto, to learn and carry out real iPS cell research at this world-leading center, was a uniquely rewarding and inspiring experience,” he said.
Osaka
CiRA regularly visits schools to introduce students to the world of cell reprogramming, but the summer holidays is when we can reach the largest number of young children. On Aug. 2, CiRA participated in the Knowledge Capital Workshop Festival in central Osaka, which was a day long event designed for elementary school children and had activities to learn about all sorts of topics including music, architecture and, of course, stem cells. Hundreds of children had the chance to play with basic laboratory equipment like pipettes, card games that taught them simple concepts about cell development and a model kit to predict cell differentiation.
Gunma Prefecture / Etsu Noguchi
On August 12, CiRA sent members to Jutoku High School in Gunma Prefecture (100 miles northwest of Tokyo) to teach students about iPS cells. The relationship came from Jutoku teachers who learned about CiRA’s outreach programs at Science Agora 2014 in Tokyo last November. Although far, Etsu Noguchi, a public communications officer at CiRA, explained, “We always have public events in the Kansai area. We want people from other areas to learn about iPS cell research.”
CiRA / Takuya Yamamoto
Assistant Professor Takuya Yamamoto welcomed 40 junior high school students from Kyoto and neighboring city Otsu last July to CiRA to teach them some of the basics about cell reprogramming science. Along with studying microscopic images to understand differences between cell types, the students used iPS Cell Master, a tablet application that was created under the consultation of CiRA Professor Jun Takahashi and is intended to teach students how to discover reprogramming factors.
Shinya Yamanaka and Jun Yamashita at the symposium
Because the Japanese public holds a large interest in iPS cells but has little access to iPS cell researchers, CiRA holds symposia that includes CiRA Director Shinya Yamanaka and at least one other CiRA researcher who give talks about their work and take questions. The most recent, “Thinking of new therapies,” was held on July 26. Normally these events are in the Kansai region, which includes Kyoto, Osaka and Kobe. This time, however, CiRA travelled to Tokyo to hold its symposium there for the second time in six years.
The event was cosponsored by Meiji University, and the speakers included Yamanaka and Professor Jun Yamashita of CiRA along with Professors Hiroshi Nagashima, Mamoru Aizawa and Masaki Nagaya, all from the International Institute for Bio-Resource Research at Meiji University, which is renown for its development of animal transplantation models. “We would love to have more events in cities outside Kansai like Tokyo, so we were very happy to partner with Meiji,” said Akemi Nakamura, a spokeswoman for CiRA and organizer of the symposia.
This was Yamashita’s first participation in a CiRA symposium. In his presentation, he emphasized that an informed public is necessary to make good policy for rapidly advancing science, noting that it was only 10 years ago when an idea like iPS cells “was science fiction.”
Nearly 1,000 people attended.
Shin Kaneko at the CiRA Café
Associate Professor Shin Kaneko presented at the most recent CiRA Science Café, which was held in Osaka on Aug. 26. The Kaneko lab is using iPS cells to develop cell therapies for cancer, of which there are an extraordinarily large number of patients in Japan. Considering that almost all of the 50 listeners knew someone close who had or has cancer, many of the questions following Kaneko’s talk were about when these therapies will be available. “I always tell the audiences, ‘as fast as possible,’” said Kaneko.
CiRA Director Shinya Yamanaka appeared on Asa Ichi, a popular morning television program on NHK, Japan’s public broadcaster, on July 31. The program focused more on Yamanaka the person than it did iPS cells, as he spoke about his inspirations during childhood and pivotal moments in his career, including his leaving medicine and questioning his return to Japan after a post doctoral position in the United States. From CiRA’s perspective, it was an excellent opportunity to appeal to a wider audience. Fumitaka Watanabe, one of CiRA’s fundraisers, noted the immediate effect of having Yamanaka on television. “Normally we have 50 calls [for donations] a month,” he said. “But on that day alone we had 200, and the impact still continues.”
Every year, in response to generous public support, CiRA holds thank-you events that welcome all who donated to the iPS Cell Research Fund regardless the size of the contribution. There, they are welcomed to talk iPS cell science or any other topic with CiRA faculty. Normally these events are held at CiRA, but because our benefactors are increasing and because
This was Yamashita’s first participation in a CiRA symposium. In his presentation, he emphasized that an informed public is necessary to make good policy for rapidly advancing science, noting that it was only 10 years ago when an idea like iPS cells “was science fiction.” many do not live near Kyoto, CiRA instead had the event in neighboring Osaka in September. This event was also the first time a researcher fully hired by the fund attended. Yuta Mishima, Ph.D., who joined the Kaneko lab last June, was there to give his thanks. “Without the help of these people, I would not be here,” he said. “I cannot appreciate them enough.”
Yuta Mishima (left) and Shinya Yamanaka
One way in which CiRA collects donations is through marathon running. Many of CiRA’s professors, including Shinya Yamanaka, are avid runners and participate in a marathon each year. Along with CiRA faculty who run for the institute, many private runners also register as charity runners, selecting the iPS Cell Research Fund as their charity. This year at the Osaka Marathon, 103 iPS Cell Research Fund runners will take part. As a way to prepare for the grueling run and give thanks, Yamanaka joined 23 of these runners for a short practice run on Sept. 12.
Yoshida Jinja
The main campus at Kyoto University shares its name with its neighboring shrine, Yoshida Jinja, which predates the university by over 1000 years. The shrine was built by the Fujiwara family, a political dynasty that lasted centuries. The family moved between Kyoto and Nara in accordance to the political power of the land, taking the shrine each time (and changing the name), with Yoshida Jinja representing the final destination. Mythology has it that the family spirits would always follow by riding sacred deer, which is why Yoshida Jinja is associated with this animal. Because of its proximity, the shrine is recognized as a guardian of the university.
International Public Communications Office
Center for iPS Cell Research and Application (CiRA)
Kyoto University
53 Kawahara-cho, Shogoin, Sakyo-ku, Kyoto
606-8507 Japan
Ohmukai Design Office
Tani Printing Corporation
Website : http://www.taniinsatsusho.co.jp/index.htm
Email : ips-contact@cira.kyoto-u.ac.jp
Website : www.cira.kyoto-u.ac.jp/e/
Tel : +(81) 75 366 7005
Fax : +(81) 75 366 7023
Printed in Japan
No part of this publication may be reproduced by any means under any circumstances without written permission of the Center for iPS Cell Reseach and Application, Kyoto University.
© 2015 Center for iPS Cell Research and Application, Kyoto University
